Moorlichter

MRT und CT - Bilder - Auswahl

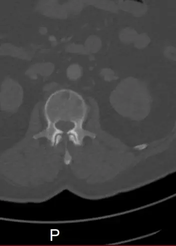
CT - Bilder der Punktion des Beckenkamm

Die Sonne geht unter, die Sonne geht auf und das Leben geht weiter…
Osteoplastische Knochenmetastasen zeichnen sich dadurch aus, dass Krebszellen den Knochen angreifen und eine übermäßige Bildung von neuem Knochengewebe anregen, was zu einer Verdichtung und Sklerosierung des Knochens führt. Die jedoch die Knochenstabilität nicht verbessert. Die im Gegensatz zu Osteolytische Metastasen bei denen Knochen abgebaut wird. (Zum Beispiel Löcher, dünne Knochen und dünne Knochenränder)
Punktion
Impressum: Gerd Ziemke • Platz der Republik 1 • 42107 Wuppertal • Telefon 0202 399 21 21 • EMail: ziemke@ronny-web.de
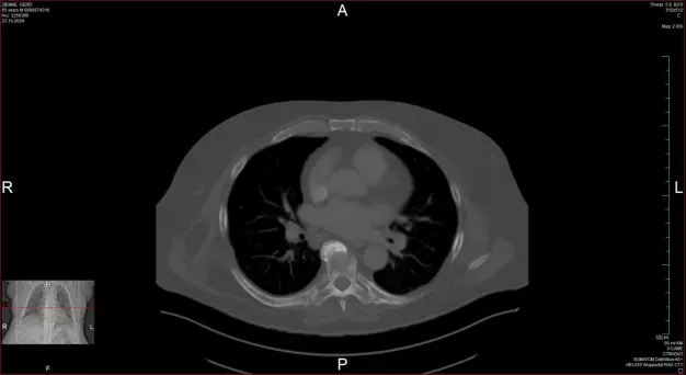
CT vom 24.07.2025
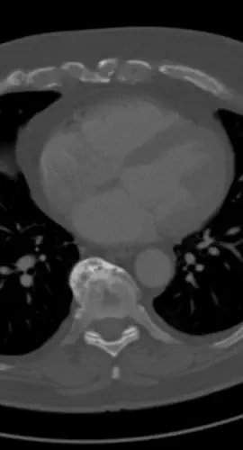
Sternum Loch
© Moorlichter 2025
Aktuelles

MRT und CT -

Bilder -

Auswahl

Impressum: Gerd Ziemke • Platz der Republik 1 • 42107 Wuppertal • Telefon 0202 399 21 21 • EMail: ziemke@ronny-web.de
Osteoplastische Knochenmetastasen zeichnen sich dadurch aus, dass Krebszellen den Knochen angreifen und eine übermäßige Bildung von neuem Knochengewebe anregen, was zu einer Verdichtung und Sklerosierung des Knochens führt. Die jedoch die Knochenstabilität nicht verbessert. Die im Gegensatz zu Osteolytische Metastasen bei denen Knochen abgebaut wird. (Zum Beispiel Löcher, dünne Knochen und dünne Knochenränder)
Punktion unter CT